Миллиардное дело «Экологии-Новосибирск»: Бывшего директора Анисимову частично оправдали
25 марта приговор выслушала экс-гендиректор бывшего регоператора по обращению с ТКО «Экологии-Новосибирск» Лариса Анисимова. Ей дали условный срок, а по ряду статей оправдали и...
Трое новосибирцев избили прохожих за оскорбления и получили реальные сроки
В Новосибирске трое мужчин получили реальные сроки после ночной драки, в которой одному из пострадавших был причинен тяжкий вред здоровью. В суде хулиганы рассказали,...
Штормовое предупреждение объявили в Новосибирской области из-за интенсивного снеготаяния
В последней декаде марта весна наконец пришла в Новосибирскую область, и из-за начавшегося активного таяния снега стало топить улицы и дороги. Ожидается ухудшение ситуации,...
Дело бывшего министра ЖКХ Новосибирской области Архипова отправили на пересмотр
Кассация отменила решение апелляции в отношении бывшего министра ЖКХ и энергетики Новосибирской области Дениса Архипова. Дело освобожденного от наказания чиновника о превышении и злоупотреблении...
Наркокурьер не довёз партию «синтетики» до Новосибирска
На трассе в Тюменской области остановили машину, которая везла почти два килограмма мефедрона в Новосибирск.
Автомобиль Volkswagen Polo остановили сотрудники ДПС на 317-м километре дороги...
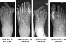
Новосибирские хирурги пересобрали женщине деформированные стопы
Более 20 лет ноги новосибирского врача-кардиолога постепенно принимали неестественную форму из-за ревматоидного артрита. Она даже переучилась на ревматолога, чтобы разобраться в мучившей её болезни,...
Охотникам Новосибирской области рассказали, затронут ли их ограничения из-за пастереллёза
В Новосибирской области на пресс-конференции по весеннему сезону охоты затронули вопрос о влиянии вспышек пастереллёза на деятельность охотников. Журналисты поинтересовались, будут ли вводиться какие-либо...
В Новосибирске загорелся корпус НГТУ: Что известно
25 марта очевидцы сообщили о возгорании одного из корпусов Новосибирского государственного технического университета. В этом здании расположены физико-технический факультет и факультет радиотехники и электроники...
Живодёр, заколовший вилами собаку в капкане под Новосибирском, получил условный срок
В Новосибирской области мужчину осудили за жестокое обращение с собакой. По данным суда, он намеренно причинил животному страдания и снял свои действия на видео,...
В НГУ создадут систему, помогающую качественнее пользоваться протезами рук
В Новосибирском госуниверситете (НГУ) разрабатывают систему считывания сигналов с тела, которая поможет более естественно пользоваться протезами рук.
Современные коммерческие протезы управляются просто: человек напрягает одну...












