Экономика
Общество
Политика
Культура
Персоны
События
Карикатуры
Спецпроекты
Поправлялка
Депутат на округе
Рецептор
Поиск
-2.4
C
Новосибирск
15 апреля 2026 (Среда)
Sign in
Добро пожаловать! Войдите в свою учётную запись
Ваше имя пользователя
Ваш пароль
Forgot your password? Get help
Password recovery
Восстановите свой пароль
Ваш адрес электронной почты
Пароль будет выслан Вам по электронной почте.
Новая Сибирь online
Экономика
Общество
Политика
Культура
Персоны
События
Карикатуры
Спецпроекты
Поправлялка
Депутат на округе
Рецептор
Главная
Авторы
Посты от Илья Балевич
Илья Балевич
8585 ПОСТЫ
1 Комментарии
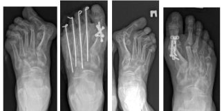
Новосибирские хирурги пересобрали женщине деформированные стопы
25 марта, 2026
В Новосибирске загорелся корпус НГТУ: Что известно
25 марта, 2026
В Новосибирской области завершился массовый забой скота
24 марта, 2026
Новосибирская УК прислала квитанции на 55 тысяч за оплаченный жильцами капремонт
24 марта, 2026
Бывший начальник новосибирской Росгвардии признан виновным в получении взятки стройматериалами
24 марта, 2026
Новосибирский пристав, устроивший пьяное ДТП и снесший работника АЗС, выслушал приговор
24 марта, 2026
Одного из главных дорожников Новосибирска переводят в МКУ из-за некачественной уборки
24 марта, 2026
Водителя «Гелендвагена», погубившего шесть человек в Новосибирске, будут судить
24 марта, 2026
Полсотни поддельных купюр выявлено в Новосибирской области. Большинство — пятитысячные
24 марта, 2026
Накануне сложного паводка новосибирские ученые создали программу, предсказывающую подтопления
24 марта, 2026
1
...
4
5
6
...
859
Страница 5 из 859
Последние новости